EN
HI
Hindi News
न्यूज़
होम
न्यूज़
मनोरंजन
स्पोर्ट्स
टेक्नोलॉजी
नौकरी
हेल्थ
ब्यूटी
ट्रेवल
फ़ूड
रिलेशनशिप
होम डेकोर
अजब गजब
ज्योतिष
फैशन
Yogi Adityanath
Tejashwi Yadav
Donald Trump
Narendra Modi
Rahul Gandhi
हिंदी न्यूज़
राज्य
केरल
केरल
केरल के मंत्री ने कहा, वायरल रील को लेकर नगर निगम कर्मचारियों के खिलाफ कोई कार्रवाई नहीं
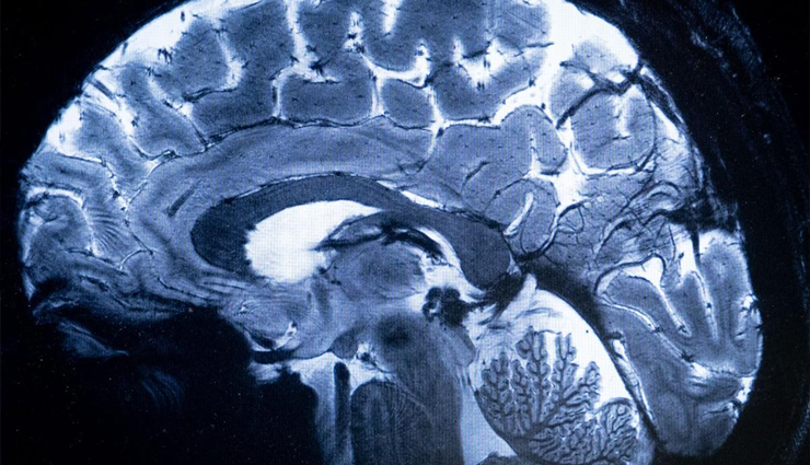
केरल में दुर्लभ मस्तिष्क-भक्षी अमीबा संक्रमण से बालक की मौत, 3 महीने में तीसरी मौत
केरल: ED ने मनी लॉन्ड्रिंग मामले में सीपीआई(एम) की जमीन और बैंक जमा जब्त की, पार्टी ने संलिप्तता से किया इनकार
पीलिया में बरती लापरवाही हो सकती हैं खतरनाक, जानें इस बीमारी में क्या खाएं और क्या नहीं
लंदन जा रहे एयर इंडिया के विमान में बम होने की धमकी, एयरपोर्ट पर पकड़ा गया संदिग्ध
केरल: कोच्चि के एक अपार्टमेंट में फूड पॉइजनिंग का प्रकोप, करीब 340 लोग प्रभावित
कुवैत अग्निकांड: 45 भारतीयों के शवों के साथ वायुसेना का 130जे विमान कोच्चि पहुंचा
ना करें एक्सरसाइज से पहले इन चीजों के सेवन की गलती, सेहत पर पड़ेगा विपरीत असर
एयर इंडिया एक्सप्रेस की एयर होस्टेस से मिला एक किलो सोना, छिपा रखा था प्राइवेट पार्ट में
साम्राज्यवाद विरोधी ताकतों को... केरल के मुख्यमंत्री पिनाराई विजयन ने इजरायल के गाजा हमले की निंदा की
केरल में हेपेटाइटिस ए के मामलों में बढ़ोतरी, 4 जिले अलर्ट पर
केरल: CPI (M), भाजपा कार्यकर्ताओं के बीच राजनीतिक तनाव के बीच कन्नूर में हुआ विस्फोट
जंगली हाथी के हमले में केरल समाचार चैनल के कैमरामैन की मौत
अयोध्या पहुँचे केरल के राज्यपाल आरिफ मोहम्मद खान, भगवान राम के सामने शीश नवाया
अपने खानपान के लिए दुनियाभर में पहचाना जाता हैं केरल, जानें यहां के लोकप्रिय व्यंजन
केरल के मुख्यमंत्री की बेटी वीणा विजयन को ED ने दिया जोरदार झटका, दर्ज किया मनी लॉन्ड्रिंग का मामला
केरल: धर्म के नाम पर प्रचार, भाजपा ने पिनाराई विजयन के खिलाफ चुनाव आयोग को लिखा पत्र
केरल: वामदलों ने CAA को चुनावी पिच में बदला, कांग्रेस की मुश्किलें बढ़ी
केरल: मुस्लिम समूहों ने चुनाव आयोग से शुक्रवार को होने वाले मतदान को स्थगित करने का किया आग्रह
केरल: CAA लागू होने के विरोध में विपक्ष ने निकाला मशाल जुलूस
CAA को लेकर ऊँचे होने लगे विरोध के स्वर, तमिलनाडु, पश्चिम बंगाल के बाद अब केरल ने खोला मोर्चा
केरल के मुख्यमंत्री ने सीएए पर साधा निशाना, पूछा- चुप क्यों हैं राहुल गांधी?
केरल: भीड़ ने अफ्रीकी फुटबॉलर से किया नस्लीय दुर्व्यवहार, दौड़ाया, पीटा
पशु चिकित्सा विश्वविद्यालय के छात्र की मौत, मुख्यमंत्री पिनाराई विजयन ने दिए CBI जांच के आदेश
कमर की अकड़न से बढ़ती हैं दर्द की समस्या, इन घरेलू उपायों से मिलेगा आराम
बालों का पतला होना बनता जा रहा समस्या, इन 10 उपायों से करें इसे दूर
बुद्ध को समर्पित ये 7 स्थान रखते हैं अपना ऐतिहासिक महत्व, जानें इनके बारे में
केरल: भाजपा नेता की हत्या के आरोप में PFI के 15 लोगों को मौत की सजा
केरल के राज्यपाल आरिफ मोहम्मद खान का सुरक्षा घेरा बढ़ाया, गृह मंत्रालय ने दी जेड प्लस सुरक्षा
एसएफआई कार्यकर्ताओं ने दिखाए काले झंडे, जताया विरोध, सड़क पर धरने पर बैठे राज्यपाल, कहा मेरी प्रधानमंत्री से बात कराओ
केरल में सरकार और राज्यपाल के बीच विवाद, सिर्फ दो मिनट में पढ़ा नीतिगत अभिभाषण
केरल में स्थित वायनाड की खूबसूरती का हर कोई दीवाना, हनीमून के लिए बेस्ट डेस्टिनेशन
2024 मेरा आखिरी चुनाव हो सकता है, युवाओं के लिए जगह बनानी पड़ती है: शशि थरूर
बुजुर्ग विधवा को पेंशन दिलाने पर अड़े हाईकोर्ट जज, सरकारी वकील से हुई तीखी बहस
इन चीजों को खाने से सफेद बाल होने लगेंगे काले, तुरंत करे डाइट में शामिल
मनी लॉन्ड्रिंग मामले में ईडी ने को-ऑपरेटिव बैंक के पूर्व अध्यक्ष समेत दो को किया गिरफ्तार
<
1
2
3
4
5
6
7
8
9
>
राज्य
View More
राजस्थान
उत्तर प्रदेश
दिल्ली NCR
महाराष्ट्र
हरियाणा
गुजरात
बिहार
पंजाब
तेलंगाना
मध्य प्रदेश
जम्मू कश्मीर
राजस्थान में पेंशनधारकों को बड़ा झटका, 20 लाख से ज्यादा लाभार्थियों की पेंशन पर लगा ब्रेक
राजस्थान में दर्दनाक हादसा: तेज रफ्तार ट्रेन ने 20 गायों को कुचला, पटरी पर फैली लाशें, कौवे-कुत्ते नोचते दिखे शव
आर्मी-डे परेड के कारण जयपुर में बदलेगी ट्रैफिक व्यवस्था, घर से निकलने से पहले जान लें जरूरी जानकारी
राजस्थान सरकार ने जारी किया 2026 भर्ती परीक्षा कैलेंडर, 1 लाख से अधिक पदों पर सरकारी नौकरियों का मौका
जयपुर ग्रामीण में अचानक उतरा रहस्यमयी हेलीकॉप्टर, गांव में मचा हड़कंप; पुलिस जांच में जुटी
रईसजादे की ऑडी बनी मौत का हथियार… 16 लोग कुचले गए, परिवार तबाह, 24 घंटे बाद भी आरोपी पुलिस की पकड़ से बाहर
Shorts
see more
रेस्टोरेंट से प्लास्टिक के डिब्बे में मंगाते हैं खाना? हो जाएं सतर्क, कहीं कैंसर को तो नहीं दे रहे न्योता!
बाहर से खाना मंगवाना अब आम हो गया है
रेस्टोरेंट प्लास्टिक कंटेनरों में खाना भेजते हैं
गर्म खाने से प्लास्टिक के ज़हरीले केमिकल घुल सकते हैं
read more
ताजा खबरें
View More
8 आतंकी ट्रेनिंग कैंप अब भी सक्रिय, जरा सी चूक पर कार्रवाई तय…’ सेना प्रमुख उपेंद्र द्विवेदी की चेतावनी से हिला पाकिस्तान
भारत पर अब 75% तक टैरिफ लग सकता है? ट्रंप ने ईरान से व्यापार करने वाले देशों पर 25% अतिरिक्त टैक्स का किया ऐलान
दिल्ली में कड़ाके की ठंड का कहर, 5 डिग्री से नीचे लुढ़का तापमान, गलन से बेहाल लोग; जानें आगे कैसा रहेगा मौसम?
मीरजापुर में दिल दहला देने वाली वारदात, मां-बेटे की बेरहमी से हत्या, नहर में फेंके गए शव; पुलिस चौकी से चंद दूरी पर वारदात
बारापुला फ्लाईओवर पर भीषण सड़क हादसा, डिवाइडर से टकराकर पलटी कार; एक युवक की मौत, 6 गंभीर रूप से घायल
The Raja Saab BO Day 4: प्रभास की ‘द राजा साब’ बॉक्स ऑफिस पर पास हुई या फेल? चार दिनों की कमाई ने खोली सच्चाई
महाराष्ट्र: 'कोई भी हरा सांप हिंदुओं की ओर...', मंत्री नितेश राणे का फिर विवादित बयान
10 मिनट डिलीवरी पर लगा ब्रेक, ब्लिंकिट ने बदली रणनीति; जोमैटो-स्विगी भी हटाएंगे फीचर
VIDEO: अब डिलीवरी बॉय बनकर घर-घर सामान पहुंचे राघव चड्ढा, गिग वर्कर्स के अधिकारों पर जताया समर्थन
रिलीज हुआ ‘सनम बेरहम’ का टीजर, ईशा मालवीय और बसीर अली की जोड़ी ने किया फैंस का दिल घायल
Jio का नया धमाका! 36 दिन का बजट रिचार्ज प्लान, रोज़ाना 2GB डेटा और ढेरों खास बेनिफिट्स
भारत में iPhone 18 Pro Max की कीमत और फीचर्स का खुलासा, लॉन्च टाइमलाइन सहित सभी अपडेट
दिशा पाटनी और पंजाबी सिंगर तलविंदर का रोमांस? हाथों में हाथ लिए वीडियो हुआ वायरल
8 सालों तक डिप्रेशन झेलती रही रश्मि देसाई, बोली - 'मेरे ऊपर भारी बोझ था'