
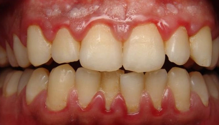
पायरिया दांतों में होने वाली एक गंभीर बीमारी हैं, जिसमें दांतों के आस-पास उपस्थित मांसपेशियाँ संक्रमण का शिकार हो जाती हैं और दांतों को हानि पहुंचाती हैं। यह समस्या मुख्य रूप से दांतों और मसूड़ों पर पनपे जीवाणुओं की वजह से होती हैं। इस समस्या में मसूड़ों से रक्तस्राव, छाले, जलन और दर्द जैसी कई तकलीफें सामने आने लगती हैं। यह समस्या आपके लिए बड़ी परेशानी का कारण बन सकती हैं, इसलिए इसका जल्द इलाज किया जाना बेहद जरूरी होता हैं। आज हम आपके लिए कुछ प्राकृतिक उपचार लेकर आए हैं जिनकी मदद से पायरिया बीमारी को दूर किया जा सकता हैं। तो आइये जानते हैं इन उपचारों के बारे में।
* सरसों का तेल और सेंधा नमक
यह पायरिया के उपचार के लिए एक बहुत ही प्रचलित औषधि है। सरसों के तेल में सेंधा नमक मिलाकर दांतों पर लगाने से दांतों से निकलती हुई दुर्गन्ध और रक्त बंद होकर दांत मजबूत होते हैं और पायरिया जड़ से निकल जाता है।
* अरंडी का तेल
200 मिलीलीटर अरंडी का तेल, 5 ग्राम कपूर, और 100 मिलीलीटर शहद को अच्छी तरह मिला दें, और इस मिश्रण को एक कटोरी में रखकर उसमे नीम के दातुन को डूबोकर दांतों पर मलें और ऐसा कई दिनों तक करें। यह भी पायरिया को दूर करने के लिए एक उत्तम उपचार माना जाता है।

* कच्चे अमरुद
अमरुद विटामिन सी का बहुत अच्छा स्रोत होने के कारण दांतों के लिए बहुत लाभकारी होता है। समस्या होने पर कच्चे अमरुद पर थोडा सा नमक लगाकर खाने से भी पायरिया के उपचार में सहायता मिलती है।
* नीम की पत्तियां
नीम के पत्तों की राख में कोयले का चूरा और कपूर मिलाकर रोज रात को लगाकर सोने से पायरिया में लाभ होता है। इसके अलावा यह पाउडर मसूड़ों से रक्तस्राव और पस के निर्माण पर नियंत्रण रखता है, और मुंह से दुर्गन्ध हटाने में भी सहायता करता है। आप अपने दांतों में नीम के दातुन से ब्रश भी कर सकते हैं।














