
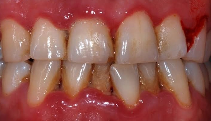
यह बात जानकर आपको हैरानी होगी कि भारत में लगभग 85 से 90 प्रतिशत वयस्कों के दांतों में कैविटी होती है। लगभग 30 प्रतिशत बच्चों के जबड़े और दांत सही नहीं हैं। 50 प्रतिशत से अधिक लोग डेंटिस्ट के पास जाने की जगह केमिस्ट वाले से सलाह लेते हैं और सिर्फ 28 प्रतिशत भारतीय ही दिन में दो बार ब्रश करते हैं। ऐसे में अगर आप दांतो के पीलेपन, मसूडे में सूजन, बदबूदार सांस से परेशान रहते है तो हम आपको बिना एक रुपए खर्च किए इन सब परेशानियों से छुटकारा पा सकते हैं। आप नीम दातुन का प्रयोग कर दांतों से जुड़ी परेशानियों से निजात पा सकते हैं। एक्सपर्ट्स का मानना है कि नीम का दातुन करने से मुंह में प्लाक नहीं बनता है। जिससे मुंह की सड़न की समस्या नहीं होती है।
एक्सपर्ट कहते है कि नीम की टहनियों से दांतों को ब्रश करने से नीम का तेल निकलता है जिसमें मजबूत एंटी माइक्रोबियल और एंटी बैक्टीरियल गुण होते हैं। जिसकी वजह से मुंह में पलने वाले किटाणुओं का जड़ से सफाया हो जाता है। नीम की टहनियों से होंगे ये फायदे...

मसूड़ों को मिलती मजबूती
नीम का दातुन करने से मसूड़ों में गलन, खून निकलना, दर्द और सूजन जैसी परेशानियों से निजात मिलता है और दांतों को मजबूती मिलती है।

नहीं आती मुंह से दुर्गंध
ब्रश करने के बाद भी कई लोगों को मुंह से दुर्गंध आने की शिकायत रहती है ऐसे में नीम के दातुन का इस्तेमाल करें। इसमें मौजूद शक्तिशाली जीवाणुरोधी और एंटिफंगल गुण हर तरह के मुंह के बदबू को जड़ से खत्म करने का काम करते हैं।

दांत होते है मोती से सफेद
नीम दातुन दांतों का पीलापन कम करने का भी काम करता है। इसके अलावा यह दांतों के दर्द से भी राहत मिलती है।

पायरिया का उपचार
रोजाना नीम के दातून से पायरिया की समस्या नहीं होती है। इसके लिए आपको दांतों के चारों तरफ अच्छे से घुमा कर दातून करना चाहिए, ताकि सफाई ठीक से हो सके।

कैसे करें दातुन का इस्तेमाल
सबसे पहले अपने मुंह में नीम के पेड़ से एक छोटी सी टहनी रखें और अपने दांतों से छाल को एक-दो इंच तक कुतरें। इसे तब तक चबाएं जब तक कि टहनी के बाल न कट जाएं। इसके डंडे थोड़े सख्त होते हैं, इसलिए इसमें थोड़ा समय लगेगा। अब आप इस टहनी का उपयोग अपने दांतों को रगड़ने के लिए कर सकते हैं। रोजाना सुबह दातून को 5-15 मिनट तक करें। अगर आप दातून करने के एक से दो मिनट बाद कुल्ला नहीं करते हैं तो ये और प्रभावी होता है। ध्यान रखें कि जब आप अपने दांतों को नीम की टहनियों से ब्रश करते हैं, तो नीम का तेल थोड़ी मात्रा में निकलता है। इस तेल में जीवाणुरोधी गुण प्रमुख रूप से होते हैं, इसलिए आप इसका इंतजार करें।














