
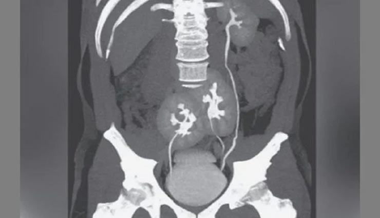
कुदरत के चमत्कार के सामने इंसान कुछ भी नहीं कर सकता और ऐसा मेडिकल इतिहास में कई बार देखने को मिला। आज इस कड़ी में हम एक ऐसी ही अनोखी घटना की जानकारी लेकर आए हैं जिसके अनुसार ब्राजील के एक व्यक्ति के शरीर में दो नहीं बल्कि तीन किडनी पाई गई हैं और हैरानी की बात यह है कि उसे किडनी से जुड़ी किसी प्रकार की परेशानी नहीं हैं। सभी किडनी सामान्य तरीके से काम कर रही हैं। 38 साल के इस व्यक्ति को पेट के निचले हिस्से में तेज दर्द शुरू होने के बाद यह मामला सामने आया। पेट दर्द से पीड़ित यह व्यक्ति जब डॉक्टर के पास पहुंचा और तो डॉक्टर ने उसका सीटी स्कैन कराने को कहा। सीटी स्कैन में ही पता चला कि उसके शरीर में तीन किडनी है। यह व्यक्ति ब्राजील की राजधानी साओ पाउलो का रहने वाला है।

न्यू इंग्लैंड जर्नल ऑफ मेडिसिन पत्रिका में इस संबंध में प्रकाशित रिपोर्ट के मुताबिक, व्यक्ति को स्लिप डिस्क की समस्या थी। अस्पताल में डॉक्टरों ने स्लिप डिस्क का इलाज किया गया और फिर उसे छुट्टी दे दी गई है। डॉक्टरों के मुताबिक, मरीज के शरीर में किडनी से जुड़ी कोई समस्या नहीं मिली। व्यक्ति के शरीर में तीन किडनी पाए जाने के इस मामले से डॉक्टर भी हैरान है।
लाइव साइंसेज और ग्लोबल न्यूज की रिपोर्ट के मुताबिक, स्वास्थ्य विशेषज्ञों का कहना है कि यह एक दुर्लभ स्थिति है। ऐसी स्थिति तब बनती है जब गर्भावस्था के दौरान भ्रूण के विकास में कोई एक किडनी दो हिस्सों में बंट जाती है। हालांकि इसका पता नहीं चल पाता है कि शरीर में ऐसे बदलाव हुए हैं, क्योंकि ऐसा होने पर उनमें कोई असामान्य लक्षण नहीं दिखाई देते। किसी तरह की जांच के दौरान ही इसका पता चल पाता है।
डॉक्टर ने जांच के बाद पाया कि उसे स्लिप डिस्क की भी समस्या थी, जिसका इलाज किया गया। डॉक्टरों का कहना है कि उस व्यक्ति को किडनी के लिए किसी खास ट्रीटमेंट की जरूरत नहीं है। उसे दर्द के लिए पेनकिलर यानी दर्द निवारक दवा दी गई है।














